
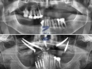
Zygomatic Implants in a Case of Severe Atrophy: ZAGA Center Paris
Full-Arch Fixed Rehabilitation with Zygomatic Implants in a Case of Severe Atrophy: A Case Report by ZAGA Center Paris Case realized by Dr. Umberto Russo,
The fourth edition of the ZAGA Live Training took place in August in the vibrant city of São Paulo, Brazil, a renowned medical facility at the Blanc Hospital.
Certified surgeons from the prestigious ZAGA Center São Paulo, Dr. André Sakima, and Dr. Jan Peter Ilg, delivered a six-day course. This program provided the perfect setting for two Australian participants, Dr. David Bassal and Dr. Ned Restom, to acquire the latest techniques and gain the surgical experience necessary to handle complex zygomatic cases.
The thoroughly crafted Live Zygomatic Implant Training was designed to equip participants with the knowledge, skills, and confidence required to excel in the specialized field of zygomatic implants.
The first day started with an extensive theoretical session, paving the way for the following hands-on training. Participants were actively involved, working directly with ten patients operated on in a hospital setting under general anesthesia. Two surgeries were carried out daily, allowing participants to plan and execute zygomatic implant placement in both hybrid and quad zygomatic cases.
“While theoretical knowledge is essential, achieving true mastery of the craft and art requires hands-on experience guided by professionals. Thanks to the immersive approach of the ZAGA Training, I had the opportunity to apply skills practically by placing approximately 15 to 20 zygomatic implants. This training allowed us to learn about aspects of zygomatic implant placement that were previously unknown.” – Dr. David Bassal
Throughout the week, both participants, who already had significant experience in full arch rehabilitation and the technique of zygomatic implants, showed remarkable progress and a high level of mastery in performing the cases. Their rapid evolution and growing expertise in the method were clearly visible, reflecting their dedication and skill in their work.
“This course has been sensational at all levels; it can potentially change your career. They covered everything from theory to surgical procedures and huge exposure to surgery with hands-on with live patients under general anesthesia. This has the potential to drive our career in a different direction. We will stay in touch with doctors Sakima and Ilg, who will be acting as mentors for us along this zygomatic journey.” – Dr. Ned Restom
The training program was accredited by esteemed institutions, including Conselho Federal Odontologia, FAIPE University, and ZAGA Centers. This certification is more than just a stamp of approval; it is a clear testament to the outstanding quality and excellence of the training.
Undoubtedly, the participants left the lively city of São Paulo with enhanced knowledge and surgical experience in zygomatic implants. They also took away valuable relationships and insights from interactions with their professional peers during the course.
As the field continues to advance, immersive educational opportunities like ZAGA Live Training will play a crucial role in shaping the future of implant dentistry. This training offers an ideal opportunity to deepen your knowledge of zygomatic implants while networking with professionals on a path toward excellence. These connections will support and accompany you on your journey of growth and development in this field.
October 22nd– 24th, 2025
Dr. André Sakima and Dr. Jan Peter Ilg,
In this intensive 5-day training, you will perform the surgeries under the supervision of the faculty, focusing on zygomatic implant procedures based on the ZAGA Concept.

Full-Arch Fixed Rehabilitation with Zygomatic Implants in a Case of Severe Atrophy: A Case Report by ZAGA Center Paris Case realized by Dr. Umberto Russo,

The latest winter edition of the ZAGA Cadaver Course took place in Barcelona from January 27 to 30, 2026. The course consisted of four days

Led by Dr. Carlos Aparicio (creator of the ZAGA Concept) with the participation of Dr. Adi Lorean (ZAGA Center Tel Aviv) and Dr. Amit Mistry

The 5th ZAGA Live Training Edition brought together dental professionals for an immersive experience in zygomatic implant rehabilitation. Participants gained hands-on practice, advanced theoretical knowledge, and direct insights from leading experts in the field. Discover the highlights of this successful training event.

Between October 7th and 10th, 2025, New York City became the stage for an event in zygomatic and remote anchorage solutions: a popular edition of

Led by Dr. Carlos Aparicio (creator of the ZAGA Concept) with the participation of Dr. Adi Lorean (ZAGA Center Tel Aviv) and Dr. Amit Mistry
We are proud to unveil Smile24h, a groundbreaking initiative designed to redefine patient education and empower individuals across the globe with reliable and comprehensive information about dental implantology. This platform is not just a website; it is a source of knowledge created to support patients with direct help from the best experts in advanced implant dentistry worldwide.
Smile24h’s mission is anchored in the advancement of patient care through education. Recognizing the need for dependable information in the rapidly evolving field of dental treatments, especially implants, Smile24h serves as a pivotal resource for patients seeking to understand their treatment options in depth to be able to make informed decisions about their oral health. This initiative builds on our commitment to enhancing patient empowerment and is aligned with the ZAGA philosophy of putting patients first and crafting tailored treatments for each patient’s needs and individual cases.
We discuss Science, Education, Events, Podcasts – centered on advanced full mouth rehabilitation.