Home » ZAGA Course – Zygomatic Implants » ZAGA Cadaver Course on Remote Anchorage Solutions New York
ZAGA Cadaver Course – Remote Anchorage Solutions, New York 2026
September 29 – October 2, 2026 | New York City
- Includes Zygomatic Live Surgery Observation & Cadaver Hands-On
- In English with real-time AI translation into multiple languages
- Once the course concludes, all learning materials can be accessed for an additional three months
The ZAGA Cadaver Course in New York City, taking place from September 29 to October 2, 2026, is a four-day intensive training on advanced zygomatic and pterygoid implant rehabilitation led by Dr. Carlos Aparicio and Dr. Jay Neugarten. Designed for specialists such as oral surgeons and prosthodontists, this course provides comprehensive training on remote anchorage solutions for severe maxillary atrophy through lectures, discussions, hands-on sessions, and live zygomatic surgery observation. Master zygomatic and pterygoid implants to rehabilitate atrophic maxillas and help patients transform their lives. All participants will receive a certificate with up to 37 CE credits upon completion of the course.
Advanced Dental Implant Course on Remote Anchorage Solutions
Course Objectives and Overview
- Build a comprehensive understanding of surgical techniques for zygomatic and pterygoid implants, including intra-sinus and extra-sinus approaches, with a focus on benefits and limitations as part of remote anchorage solutions for severe maxillary atrophy.
- Gain both scientific and clinical insights into applying ZAGA zygomatic implant treatments across diverse anatomical situations.
- Observe, analyze, and discuss a live surgical procedure led by Dr. Jay Neugarten.
- Practice advanced zygomatic and pterygoid implantology techniques through implant placement on 3D dental models derived from real patient cases.
- Simulate real surgical conditions by practicing implant placement on cryopreserved human heads to refine skills in remote anchorage techniques.
- Advance your ability to identify, prevent, and manage complications related to zygomatic and pterygoid implants within the context of remote anchorage solutions for severe maxillary atrophy.
- Master surgical planning and treatment strategies for the precise placement of zygomatic and pterygoid implants.
- Three-month access to the full course content: available once the course is completed.
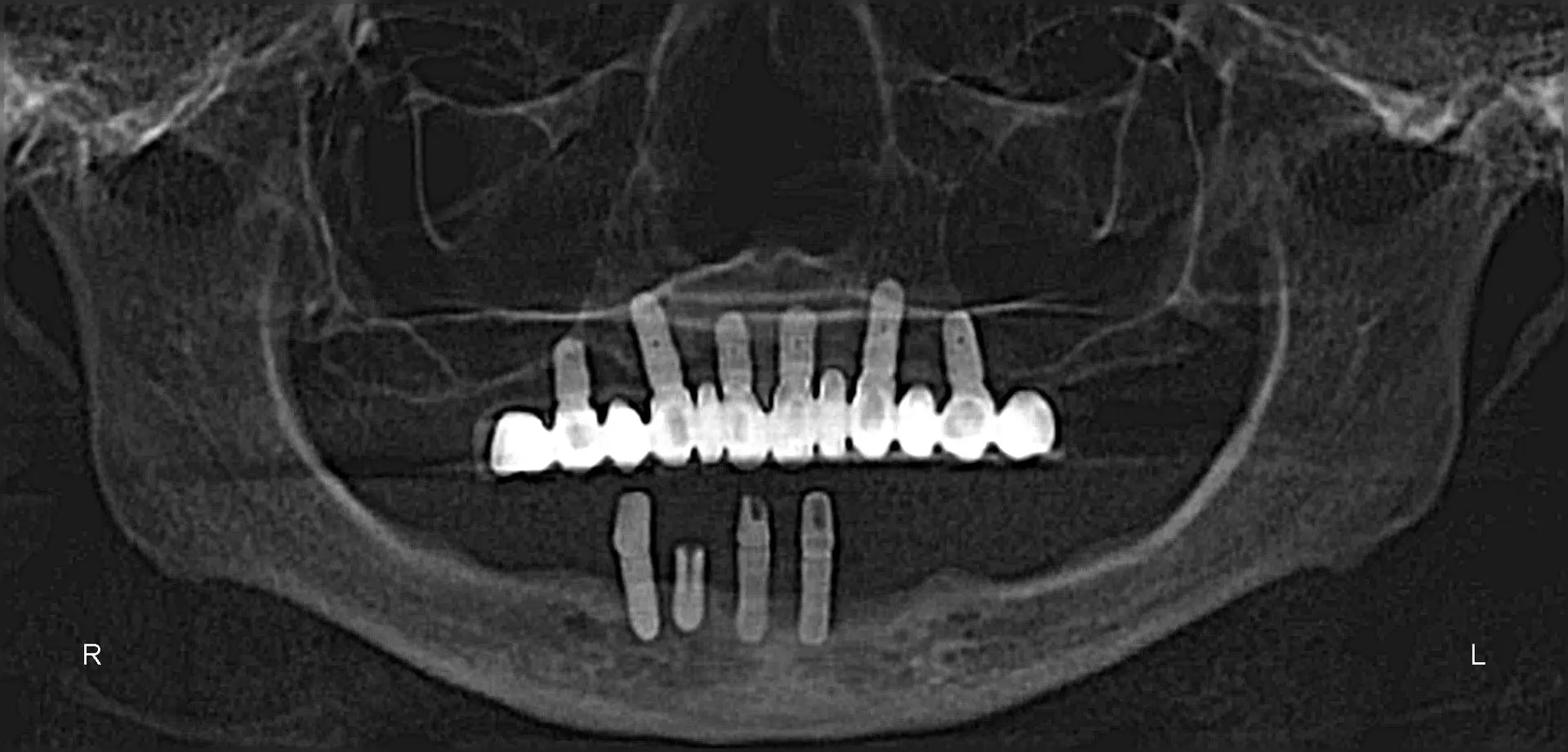
Clinical Case Example
Documented case of Ana, a patient presenting with severe bone loss and failed implants. She was treated by our faculty member, Dr. Jay Neugarten, during the ZAGA Course as part of a live surgical demonstration for course participants. Treatment involved quad zygomatic implants and one pterygoid implant to improve stability. Using the ZAGA Approach, we were able to successfully rehabilitate the case despite the previous implant failures and deliver an immediate prosthesis on the same day as surgery. This case represents part of the clinical education and knowledge participants gain during the ZAGA course.
Lecturers at the ZAGA Cadaver Course on Remote Anchorage Solutions

Dr. Carlos Aparicio
ZAGA Concept Creator
MD, DDS, MSc, MSc, DLT, Ph.D.

Dr. Jay Neugarten
Oral & Maxillofacial Surgeon
MD, DDS, FACS
ZAGA Cadaver - Remote Anchorage Solutions Course in New York
Program Outline
- 8:00am-8:30am | Welcome and Participants’ Introduction
- 8:30am-10:00am ZAGA Theory by Dr. Carlos Aparicio
- 10:00am-10:30am | Coffee Break
- 10:30am-12:00pm | ZAGA Theory by Dr. Carlos Aparicio
- 12:00pm-1:00pm | Lunch Break
- 1:00pm-1:30pm | Implant System Intro by Straumann
- 1:30pm-4:00pm | ZAGA Theory by Dr. Carlos Aparicio
- 4:00pm-6:00pm | 3D Models Hands-on with Dr. Carlos Aparicio & Dr. Jay Neugarten
- 8:00am-10:00am | ENT Considerations and Complications by Dr. Jay Neugarten
- 10:00am-10:30am | Coffee Break
- 10:30am-12:00pm | ZAGA Theory by Dr. Carlos Aparicio
- 12:00pm-1:00pm | Lunch Break
- 1:00pm-1:30pm | ZAGA Centers Introduction
- 1:30pm-4:45pm | ZAGA Theory by Dr. Carlos Aparicio
- 4:45pm-6:00pm | Live Surgery Preparation
- 8:00am-12:00pm | Live Surgery
- 12:00pm-1:00pm | Lunch Break
- 1:00pm-2:30pm | Pterygomaxillary Implants Theory by Dr. Jay Neugarten
- 2:30pm-4:00pm | ZAGA Theory by Dr. Carlos Aparicio
- 4:00pm-6:00pm | 3D Models Hands-On with Dr. Carlos Aparicio & Dr. Jay Neugarten
- 6:30pm | Social Event
- 8:00am-12:00pm | Hands-On Cryopreserved Heads with Dr. Carlos Aparicio & Dr. Jay Neugarten
- 12:00pm-12:15pm | Course Closure
- 8:00am-05:30pm | Complexitiez Symposium on Non-Clinical Complications. Featuring over ten keynote speakers and round-table discussions. Discover more here.
Course Venue
Registration
ZAGA Course New York City
4-Day Course: September 29 - October 2, 2026Includes Live Surgery & Cadaver Hands-On Session
-
ZAGA Concept
-
3D Models Hands-on
-
Hands-on with cryopreserved heads
-
Live Surgery
-
Social Event
-
Coffee Breaks & Lunch
-
32+ CE Credits
-
AI-Powered Simultaneous Translation (All Languages)
BUNDLE: ZAGA Course & Complexitiez Symposium
4-Day Course & Complexitiez SymposiumSeptember 29 - October 3, 2026
-
ZAGA Concept
-
Hands-on 3D Models
-
Hands-on with cryopreserved heads
-
Live Surgery
-
Social Event
-
Coffee Breaks & Lunch
-
40+ CE Credits
-
Access to the Complexitiez Symposium
-
Roundtable Discussion
-
AI-Powered Simultaneous Translation (All Languages)
Complexitiez Symposium
October 3, 202648 Will Street New York, NY 10005
-
Access to the Complexitiez Symposium
-
Breakfast & Lunch
-
Diploma with 8 CE Credits
-
Roundtable Discussion
-
AI-Powered Simultaneous Translation (All Languages)
*By registering, you confirm that you’ve read and agree to the “Courses, Training, and Conferences” Terms and Conditions.
Complexitiez Symposium 2026
October 3, 2026 | NYC, New York
After successful editions in 2024 and 2025, the world’s first global symposium on zygomatic complications returns in 2026. This year, the organizing committee (Dr. Jay Neugarten, Dr. Carlos Aparicio, and Dr. Costa Nicolopoulos) has decided to approach the topic from a different angle: non-clinical complications.
Attendees can look forward to engaging sessions on management, patient relations, marketing, legal challenges, and AI-related complications, all presented by leading experts in the dental implant industry.
The 2026 edition of the Complexitiez Symposium promises a truly unique educational experience—designed for clinicians who run their own practices, as well as doctors and clinic professionals who want to better understand and navigate the complex realities of today’s professional environment beyond the clinical setting.
Complexitiez 2026 faculty includes: Dr. Franck Renouard, Dr. Jay Neugarten, Dr. Carlos Aparicio, Kelly Tanner, Dr. Costa Nicolopoulos, Ryan Donihue, and George Camp.
More to be announced soon.
What do participants say about the ZAGA Cadaver Course on Remote Anchorage Solutions in New York?
Check out the last ZAGA course in NYC 2025

Hands-On Excellence in Manhattan: The ZAGA Course October 2025 in New York City
Between October 7th and 10th, 2025, New York City became the stage for an event in zygomatic and remote anchorage solutions: a popular edition of